感冒,咳嗽,风寒,吃5种食物好得快
2型糖尿病或会增加男性结直肠癌的发病风险
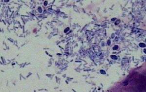
惊!胸水中发现阴道毛滴虫!
常规体检五禁忌 随意舍弃检查项目
从肝郁到肿瘤只有6步,有这些症状你就该养肝了
中国学者发现人干细胞“年轻因子”,有助于骨关节炎治疗
除了春困,有些疾病也会让你频繁产生困意
出现这4个表现,你的颈椎病已经很严重了,上班族尤需警惕
危机四伏的时代,如何防范癌症?这2道“防线”要巩固好
身体频繁冒出4个“警报”,可能是在暗示:肝脏出问题了
版权所有:洛阳慈铭健康管理有限公司 备案号:豫ICP备2021012153号 豫公网安备 41030502000297号
TOP
QQ客服
0379-65966666 0379-69936117